Trusted private dentist &
Invisalign provider in Cardiff
Experience exceptional dental care in a comfortable environment. At Andrew Thomas Dental Care, we're committed to helping you achieve the smile you desire with our comprehensive range of treatments and personalised approach.






Testimonials
Highly recommended in Cardiff
Discover the firsthand experiences of our satisfied patients who have received exceptional dental care at Andrew Thomas Dental Care.
Invisalign provider in Cardiff
Over a decade of Invisalign experience
Benefit from over 12 years of expertise in providing Invisalign treatments, ensuring a seamless journey to the smile you desire.
Invisalign is a leading clear braces system, offering a discreet solution to straighten teeth and close gaps. The treatment involves wearing comfortable, transparent aligners and typically lasts 6-12 months. Using advanced technology, Andrew and his team create a 3D treatment plan, allowing you to visualise the final result before starting the treatment.


Our team
Our friendly & experienced team
Meet our dedicated team of dental professionals, committed to delivering exceptional care and personalised attention for your oral health and wellbeing.

Andrew Thomas BDS (Hons), BSc (Hons)
Principal Dentist
Andrew Thomas, our principal dentist, is a Cardiff native and honoured graduate from Cardiff Dental School. Known for his friendly approach, he has a special interest in Invisalign and restorative work, and offers flexible appointments to accommodate all patients.
GDC Number: 79548

Jo Thomas RDN, Dip DH (2000)
Treatment Coordinator
Meet Jo, our Invisalign Treatment Coordinator with over 20 years of experience in dentistry and a special interest in Orthodontics. Having worked as a Dental Nurse and Hygienist, and personally experienced Orthodontic and Invisalign braces, she's well-equipped to guide you through your Invisalign journey.
GDC Number: 5674

Carly Longbottom Dip DH (2004)
Dental Hygienist
Meet Carly Longbottom, our distinguished dental hygienist. Known for her excellent patient care, Carly is a respected lecturer and key opinion leader in her field. With her warm approach, she builds strong relationships with all our patients.
GDC Number: 6540
Our treatments
A full range of treatments
Explore our wide range of dental services, designed to provide you with great oral health and a confident smile. Our experienced team is committed to delivering personalised and effective treatment plans, ensuring your dental journey is comfortable and successful.

General dentistry
From routine check-ups to more complicated dental procedures like root canal treatment, our general dentistry services cover all your oral health needs.

Invisalign
Achieve a lovely smile with our Invisalign braces, a modern and discreet solution to straighten your teeth. Andrew has over 12 years of experience using Invisalign, so you will get expert guidance and treatment and a comfortable and effective experience.

Emergency dental care
When you have a dental emergency, we can provide quick, expert care.

Dental Hygienist
Help to keep your gums healthy and gum disease treated by caring experienced hygienists.

Cosmetic dentistry
Enhance your smile with our range of cosmetic dentistry services.

Teeth whitening
Brighten your smile and boost your confidence with our professional teeth whitening services.

Orthodontic retainers
Maintain an already straightened smile with our high-quality orthodontic retainers.

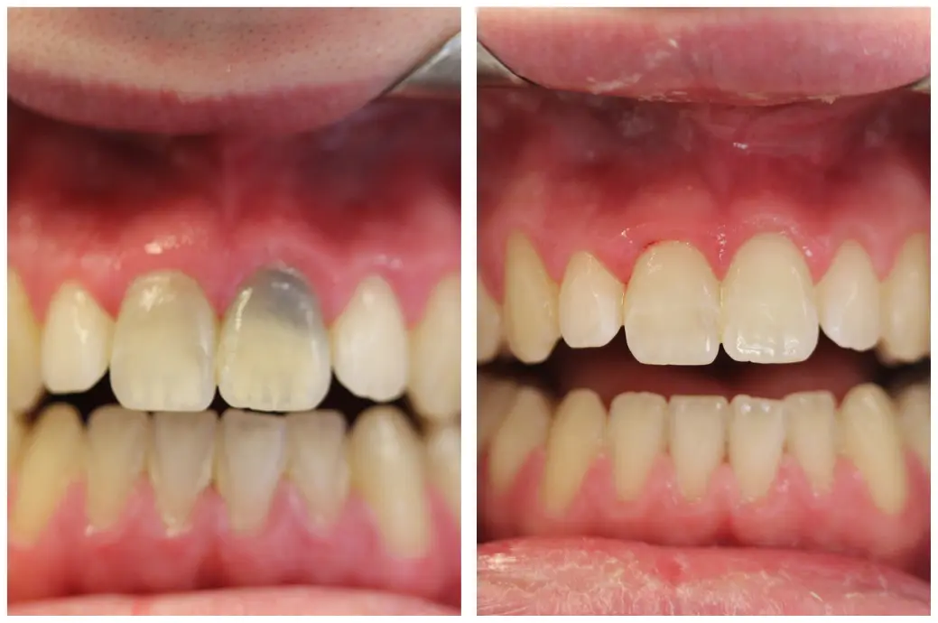
Single tooth internal bleaching
Restore the brightness of a discoloured tooth with our single tooth internal bleaching service.
Contact us
Get in touch for exceptional and personalised care
Contact our team of dental experts, who are dedicated to providing you with personalised care and attention.
- Call us
- 02920 216 200
- Visit us
- 1st Floor Suite, 50 The Parade, Roath, Cardiff, CF24 3AB


